Tumorpedia Bone 1 Icon
2.6
9 Ratings
100+
Downloads
1
version
Mar 03, 2012
release date
6.8M
file size
€ 2.26
price

What's New

Hundreds of new images added - database updates are available at anytime so you always have the most complete information.

About Tumorpedia Bone Android App

Do you need all accurate, up-to-date tumor information on your mobile device? Now you can get the Tumorpedia apps!

The Tumorpedia applications give you rapid mobile access to the most comprehensive medical information covering all aspects of benign and malignant bone and soft tissue tumors, foot and ankle tumors, and musculoskeletal tumor information in Spanish.

Tumorpedia is designed for physicians, surgeons, radiologists, pathologists, primary care providers, podiatrists, residents, interns, medical students, and patients as well. Tumorpedia is available for iPhone and iPad and Android mobile devices.

Tumorpedia comprises a suite of mobile applications focusing on different types of tumors. The applications released today include Tumorpedia-lite, Tumorpedia-bone, Tumorpedia-soft tissue, Tumorpedia-foot and ankle, and Tumorpedia-Espanol, designed for Spanish-language users.

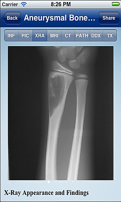
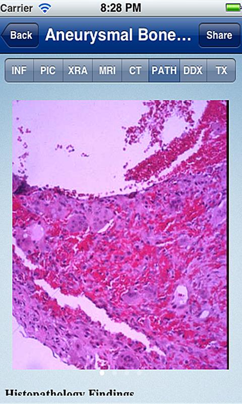
Each Tumorpedia app contains information on 20 to 50 different tumors, covering the etiology, pathogenesis, clinical presentation, and examination findings, as well as the xray, MRI, and CT scan appearance of the tumor. The diagnostic features of each tumor are illustrated with hundreds of images from actual case examples. In addition, the microscopic pathology findings are described and illustrated. The app provides treatment options, outcomes information, and prognosis for each tumor.

There is no textbook in print that has the information available in this application, presented in the manner that it is. It's a great tool for orthopedic surgeons, radiologists, pathologists, podiatrists, residents and students who might be caring for patients with these tumors.

It's hard to memorize the variable presentations and diagnostic features of these tumors, which can range anywhere from minor, benign conditions to serious, aggressive cancers. Zeroing in on the right diagnosis is really essential in determining the most accurate and appropriate tests to use. Having this information readily available, right at the point of care is invaluable.

Other Information:

Requires Android:
Android 2.2 and up
Other Sources:
Category:

Download

This version of Tumorpedia Bone Android App comes with one universal variant which will work on all the Android devices.

Variant
Updated
(Mar 03, 2012)
Architecture
Minimum OS
Android 2.2 and up
Screen DPI
nodpi (all screens)

All Versions

If you are looking to download other versions of Tumorpedia Bone Android App, We have 1 version in our database. Please select one of them below to download.

Loading..